Міф про не лікування і лікуванні молочних зубів.
Багато батьків упевнені, що лікувати молочні зуби немає необхідності.
На питання чому вони так вирішили?
ми чуємо просто жахливий відповідь:
А нам так лікар сказав .....
Ми залишаємо думка подібних фахівців на їх совісті!
Лікувати молочні зуби необхідно!
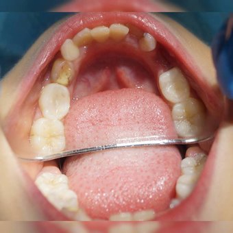
Аріана 7 років, зачатки 2-х постійних зубів у дівчинки відсутні і стояла гостра необхідність зберегти молочні моляри на місці яких в нормі повинні були вирости постійні зубки. Провели лікування і реставрацію 2-х молочних молярів.



